Innerbloom Dental Studio
Sarah Enright, DMD

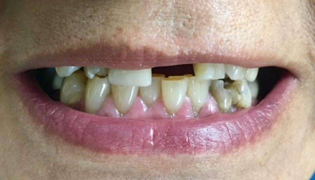
Upper Bridge to Replace Missing Teeth

Innerbloom Dental Studio in Boise, Idaho, successfully installed an upper dental bridge for a patient, effectively addressing the issue of missing teeth. This restoration not only improved the functionality of the patient's bite but also significantly enhanced the aesthetic appearance of their smile.

Tooth Replacement in Boise

If you have a damaged or missing tooth in Boise, ID, we would love to hear from you. Contact a friendly dental team member today to schedule your consultation.

 

Patient before new dental bridge in Boise ID after photo of patient with new dental bridge in Boise ID
It really was the best five-star experience!

This was the most incredible dental experience I’ve ever had! From every touch point with the front desk team, dental assistant, hygienist, and the dentist herself! I’ve never felt so taken care of in a dentist visit. And the music was the best music I’ve ever heard played in a dental office! It really was the best five-star experience!
-Andrea H.
 

Ready to Book an Appointment?
If you have difficulty using our website, please email us or call us at (208) 853-5111
View the ADA Accessibility Statement