Innerbloom Dental Studio
Sarah Enright, DMD

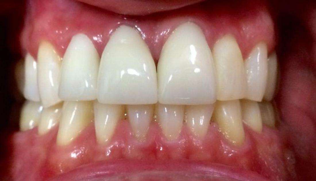
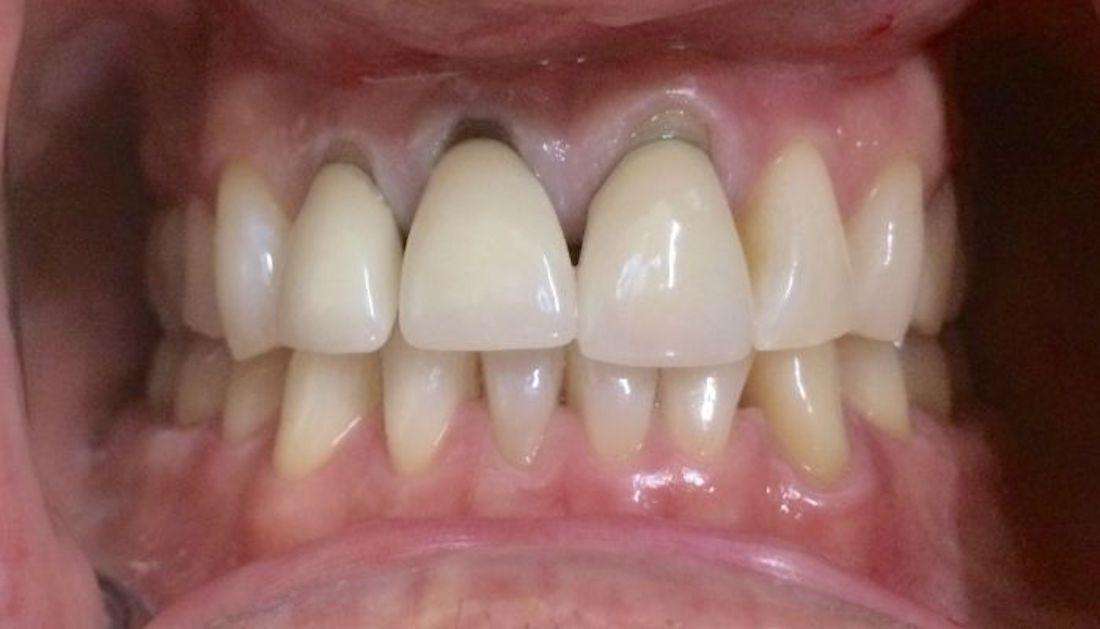
Dental Crowns on Upper Front Teeth

Innerbloom Dental Studio in Boise, Idaho, recently upgraded older dental crowns on a patient's upper front three teeth. The team replaced the worn-out crowns with new, custom-made ones that improved both the look and health of the teeth, resulting in a more natural and appealing smile.

Dental Crowns in Boise

We are here to help rejuvenate your smile using modern dental crowns in Boise, ID. We invite you to schedule a consultation at our dental office to explore the best tooth replacement options tailored for you.

Before Old Dental Crowns Before in Boise ID After New Dental Crowns in Boise ID
It really was the best five-star experience!

This was the most incredible dental experience I’ve ever had! From every touch point with the front desk team, dental assistant, hygienist, and the dentist herself! I’ve never felt so taken care of in a dentist visit. And the music was the best music I’ve ever heard played in a dental office! It really was the best five-star experience!
-Andrea H.
 

Ready to Book an Appointment?
If you have difficulty using our website, please email us or call us at (208) 853-5111
View the ADA Accessibility Statement